Создаю улыбки вашей мечты

Наша команда может всё: от чистки и лечения зубов до протезирования и сложной имплантации во сне! 










 


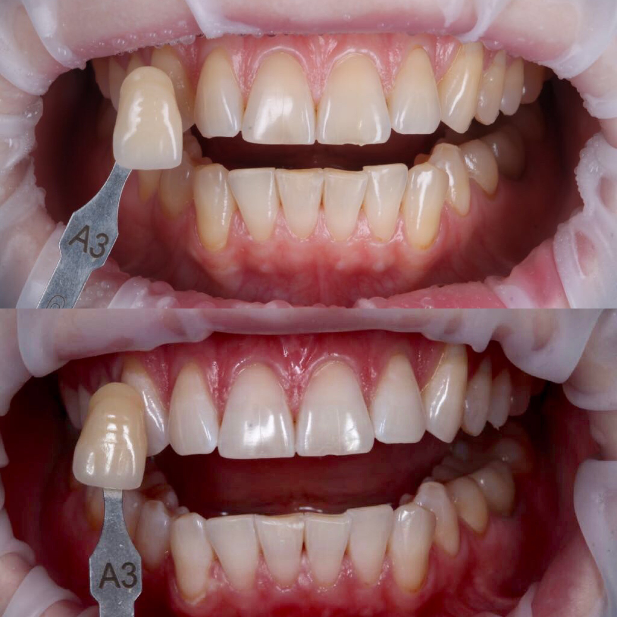
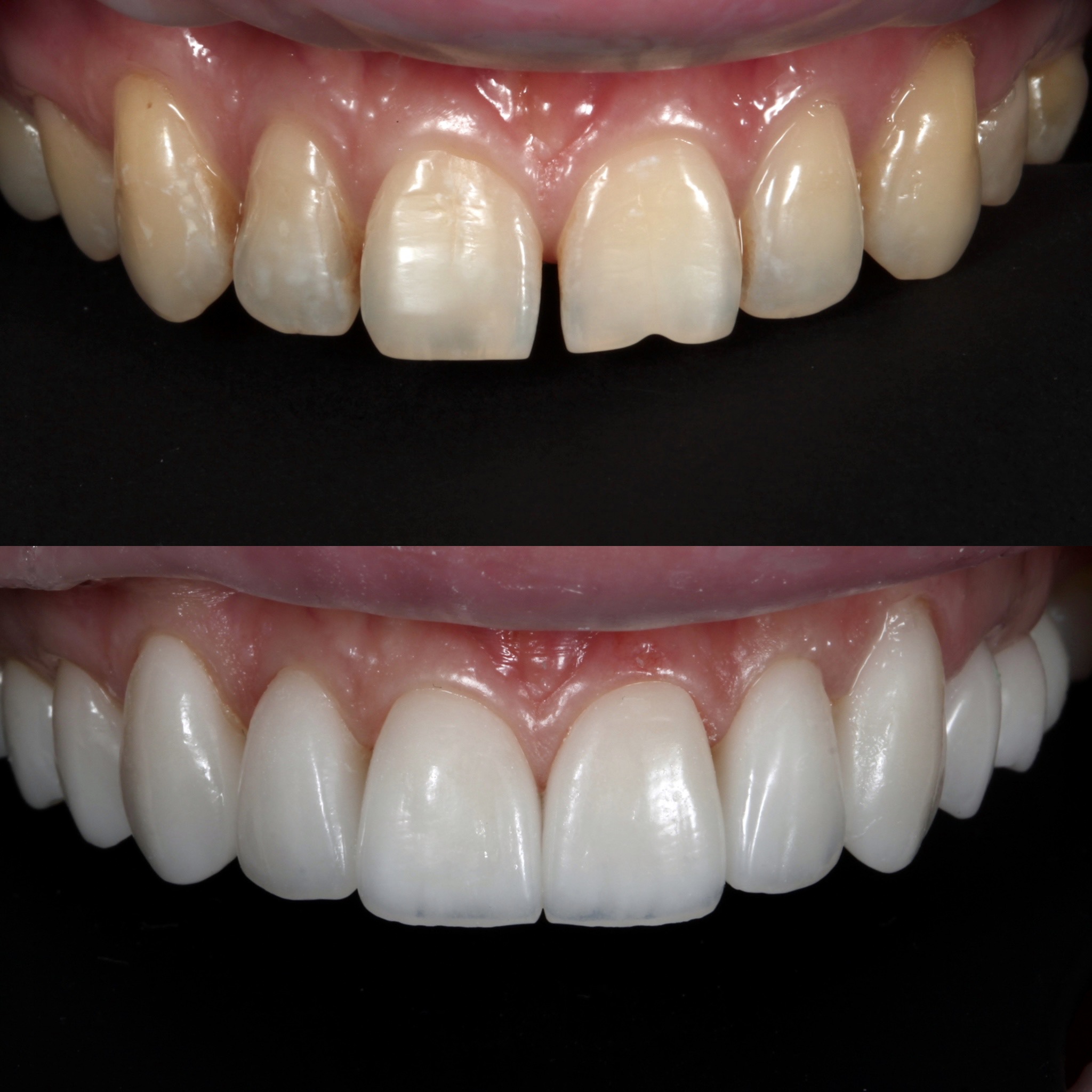
Мои работы

Я помогаю людям обрести улыбку мечты 

Мне доверяют


все условия для максимального комфорта

Связь с лечащим врачом 24 часа в сутки / 7 дней в неделю

Вы можете написать или позвонить мне круглосуточно и я постараюсь вам помочь

Гарантия 5 лет в договоре

Мы одни из немногих, кто может предоставить гарантию на все виды услуг в течение 5 лет по договору


Нет скрытых платежей 

финансовый план лечения, составленный в начале, остается не изменным в течение всего лечения

Опыт работы в эстетической стоматологии более 10 лет

С самого начала своей практики я занимался современными  эстетическими реставрациями и протезированием зубов,а не методами старой советской школы

Все работы на этом сайте выполнены мной

Для четкого контроля всех этапов лечения я использую фотопротокол - ни одна деталь вашей улыбки не будет упущена

Клиника с лучшим оборудованием

Наша клиника оснащена самым передовым оборудованием на сегодняшний день. Лечение проходит под микроскопом  Carl Zeiss, цифровой сканер для снятия зубных оттисков iTero, а так же цифровой томограф. 

Задайте вопрос в WhatsApp

Вы можете выбрать как максимально естественную улыбку так и яркую белоснежную

как мы работаем

Первичная консультация

Мы проводим вам все необходимые исследования и снимки и анализируем их.


Вы получите полный план лечения с индивидуальными условиями,  утвержденными  сроками и фиксированной стоимостью.

Терапевтический этап

Мы проводим вам профессиональную гигиену лечим кариесы, пульпиты ,периодонтиты и "кисты" под микроскопом и делаем отбеливание.


Вы получите здоровые зубы и десны

Хирургический этап

Мы проводим имплантацию, мягкотканную и костную пластику, а так же удаляем несостоятельные зубы, если это необходимо


Вы получите здоровую полость рта без очагов инфекции, готовую к реставрациям

Ортопедический этап

Мы с вами выбираем форму, цвет и яркость будущей улыбки и покрываем зубы керамическими реставрациями(винирами, накладками и коронками) а так же ставим коронки на имплантах


Вы получите здоровую красивую улыбку о которой всегда мечтали

Плановые осмотры и гигиена

Мы встречаемся с вами один раз в пол года для проведения контрольного и профессиональной гигиены, если это необходимое так же раз в год для рентген-диагностики


Вы получите гарантию долговечности ваших зубов и красоту улыбки

У вас остались вопросы?
Напишите нам!
Наша команда

Ковальчук Сергей

Врач-стоматолог, ортопед

Ольга Картушина
Врач-стоматолог, терапевт-микроскопист 

Анастасия Жекова 

Врач-стоматолог,Хирург-стоматолог

Альберт Айвазян 
Стоматолог-хирург 
Тюлеки Сейране
Врач-стоматолог, терапевт-микроскопист
Аделя Мунасипова 
Специалист-гигиенист

Услуги

Керамические виниры 

Мы обладаем всеми необходимыми знаниями и  оборудованием для создания улыбки Вашей мечты, которая может быть как  яркой и белоснежной так и максимально естественной, неотличимой от натуральной.

Технология отбеливания зубов Zoom 4 

Самая совершенная и безопасная технология клинического отбеливания зубов на сегодняшний день. WOW эффект обеспечен. LED технология холодного света позволяет осветлить зубы до 18 тонов и сделать это  максимально безболезненно.

Лечение кариеса,пульпита и периодонтита с использованием микроскопа

Лечение под операционным микроскопом позволяет проводить лечение на более качественном уровне и гарантирует долгосрочный предсказуемый результат, повысит качество и эффективность лечения.

Ровные зубы БЕЗ БРЕКЕТОВ

технология INVISALIGN

В настоящее время исправление прикуса и выравнивание зубов возможно БЕЗ БРЕКЕТОВ с помощью американской технологии Invisalign. Многие публичные люди проходят лечение с помощью Invisalign и никто из окружающих об этом даже не догадывается.

Протезирование зубов

Мало просто восстановить зубы, необходимо обеспечить правильную сбалансированную  функцию зубочелюстного аппарата, а именно зубов, суставов и мышц, для предотвращения сколов и поломок керамики. Оборудование компании Myotronics позволяем нам проводить максимально точную  функциональную диагностику зубочелюстной системы при тотальном реставрационном лечении.

Имплантация зубов 

Мы устанавливаем лучшие  зубные импланты, так же работаем в сложных ситуациях с помощью костной и мягкотканной пластики. Это  позволяет нашим пациентам полностью восстановить здоровье зубочелюстного аппарата.


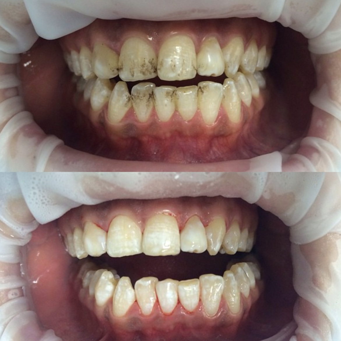
Профгигиена полости рта

Это важная процедура, которая помогает сохранить здоровье зубов и десен.

Профессональную чистку рекомендуют делать взрослым не реже 1 раза в 6 месяцев. 

Тем, кто курит, пьет много кофе или не очень активно ухаживает за зубами дома - не реже 1 раза в 3 месяца.

Внутриротовой сканер I-Tero

Внутриротовой сканер I-Tero позволяет передавать информацию в лабораторию в цифровом формате с максимальной точностью не  прибегая к слепкам, что исключает человеческий фактор,а так же экономит ваше время. Он позволяет нам сотрудничать с зуботехническими лабораториями, которые находятся в любой точке мира.

Наша клиника
Интерьер нашей клиники создан таким образом, чтобы вам ничего не напоминало о привычной стоматологии и зубной боли

Вы можете связаться со мной напрямую и задать любой вопрос

KOVALCHUK CLINIC 
ул. Минская 2

Тел:  +7 (495) 645 10 84
WhatsApp +7 (991) 234 23 57




Телефон: 8 (495) 645-10-84
                
E-mail: dr.sergeikovalchuk@yandex.ru